Thumb sucking is a common habit among many children. It is common with children under three and is associated with the need to seek food. In some infants it can signal fatigue, sleep, hunger, teething and shyness.
It is generally done by child when they are:
Thumb sucking and its effect
The intensity, frequency and duration of thumb sucking is a factor which determines whether or not dental problems may occur. Vigorous thumb suckers will have more dental problems.
Reshape the jawbone because their jawbones are still soft and pliable
Narrows dental arches due to contraction of check muscles while sucking thumb.
Upper front teeth will flare out and tip upward; this makes them prone for trauma.
Lower teeth will move
Affect growth of child’s palate (roof of the mouth) causing:
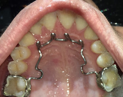
Breaking the habit
Thumb sucking till the age of 3 years is quite normal and may not cause major side effects. However it is important to stop the thumb sucking habit BEFORE permanent teeth starts coming in from age 6 year onwards. Breaking the habit by the ages of three to four is better and easier but if they continue beyond that don’t pressure your child to stop, this can reinforce the habit, you need to seek professional help from our Orthodontist.
Some tips to help your child leave habit:
