BRING LIFE TO YOUR SMILE WITH NATURAL LOOKING EMAX CROWN

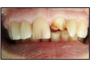
This 66 years old female patient wanted to remove her partially broken front tooth and replace it by implant as she thought it is non-salvageable. But she was delighted to know that we can save her natural tooth and restore her beautiful smile without the need of tooth removal.

 

 

 

So, we did Root Canal Treatment of that tooth and increased its length by inserting a fibre post for support and built up the entire tooth structure with a permanent filling. Then a highly aesthetic natural looking Emax crown was placed which camouflaged with her adjacent natural teeth. She was extremely pleased when she saw the outcome of the treatment which was so perfect and looking very natural. We could have given her a routine crown but as shown in figure 2 we gave special staining effect on the crown to make it look alike and merge with other natural teeth.

 

 

We, at Dr. Vora’s Dental Care excel in delivering the most natural looking beautiful smile.